Het coronavirus heeft al heel wat dodelijke slachtoffers gemaakt, onder wie een 44-jarige Chinese man die werkte op de zeevruchtenmarkt van Wuhan. Hij werd op 25 december 2019 opgenomen in het ziekenhuis. Een week later overleed hij.
Witte vlekken
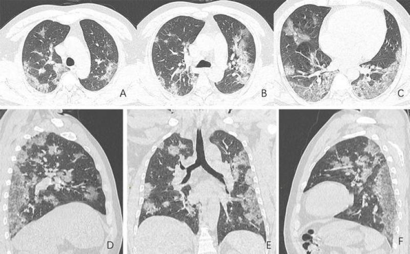
De internationale vereniging van radiologen RSNA heeft nu röntgenfoto's gedeeld van de longen van de bewuste man. Daarop zijn duidelijk witte vlekken te zien die steeds groter worden (zie foto van A tot en met F).
Ontstekingsvloeistof
Dat zijn zogenaamde ground-glass opacities (GGO's) waarbij de longblaasjes zwellen en vollopen met ontstekingsvloeistof. Deze symptomen zien we ook terug bij mensen die lijden aan het SARS-virus en het Middle East respiratory syndroom (MERS).
