Iedereen wil liever sterven op een hoogtepunt dan tijdens een slechte periode in je leven, maar erg letterlijk moet je dat ook niet nemen. Een 51-jarige Japanner, single, kreeg nadat hij zichzelf had bevredigd plots last van enorme hoofdpijn, schrijft een medisch rapport gepubliceerd in het Journal of Stroke and Cerebrovascular Diseases. Later moest hij braken. De man sleurde zichzelf naar het Nagoya Universitair Ziekenhuis, waar hij onder de CT-scanner moest.
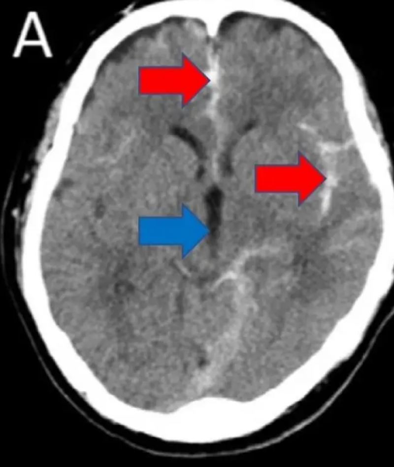
Daaruit bleek dat de man een subarachnoïdale bloeding had opgelopen, of een speciale soort hersenbloeding. Dat gebeurt wanneer je bloeddruk plotseling stijgt en er daarbij meestal een aneurysma in de hersenen knapt. Daardoor stroomt er bloed in de met hersenvocht gevulde delen van je hersenen - en dat is levensbedreigend. Symptomen zijn onder andere erge hoofdpijn, een stijve nek, gevoeligheid aan licht, wazig zicht, slome spraak, vermindering van kracht in één kant van het lichaam en oncontroleerbaar trillen. Ze komen vaak plots op. De onfortuinlijke Japanner, die volgens het rapport regelmatig masturbeerde, kon na twee weken in goede gezondheid het ziekenhuis verlaten.
Seks vormt risico
Een subarachnoïdale bloeding maakt ongeveer 1 op de 20 gevallen van hersenbloedingen uit, maar seks - alleen of met twee - is wel een risicofactor. Iets zwaars tillen, hoesten of naar het toilet gaan zijn dat echter ook. Roken, alcoholgebruik, een hoge bloeddruk of een ernstig hoofdletsel zijn tevens allemaal factoren die de kans op de hersenbloeding verhogen - net als cocaïne en Viagra, overigens. Wie zich zorgen maakt dat ‘ie het loodje zal leggen tijdens de liefdespartij, onthoudt beter dit: «Niet roken, geen drugs nemen en je bloeddruk onder controle houden met behulp van je huisarts is beter om een subarachnoïdale bloeding te vermijden dan onthouding van alle vormen van seks», zegt dokter Daniel Walsh aan Mailonline.

