Het tragische geval van de 45-jarige man, wiens identiteit verder onbekend blijft, wordt beschreven in het wetenschappelijke vakblad Urology Case Reports. De man meldde zich op de spoedafdeling van een ziekenhuis omdat hij moeite had met plassen. Wanneer hij er dan wel in lukte om te plassen, zat er bloed in zijn urine. Hij en zijn partner gaven vervolgens toe dat ze al herhaaldelijk verschillende voorwerpen in zijn plasbuis hadden gewrongen als ‘hulpje bij erectiestoornissen’. Tijdens een van die pogingen drie weken eerder hadden ze, met behulp van een rietje, waterafstotende isolatieschuim in zijn geslachtsdeel gespoten.

Mentale gezondheid
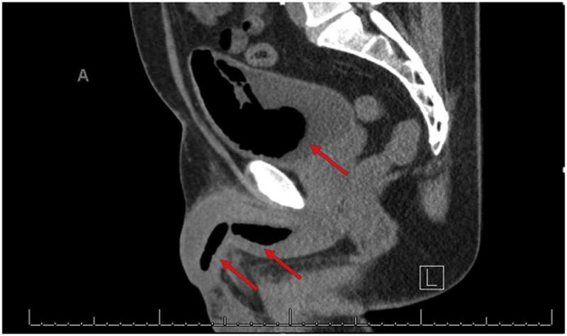
In het ziekenhuis wees een CT-scan uit dat het schuim tot helemaal boven in zijn plasbuis was gekropen en zelfs in zijn blaas was terechtgekomen. De man moest verschillende operaties ondergaan om al het isolatieschuim uit zijn lichaam te verwijderen. Ook bleek zijn plasbuis al flink versmald door littekenvorming, waarschijnlijk als gevolg van eerdere ingebrachte voorwerpen in zijn geslachtsdeel. De auteurs van het wetenschappelijk artikel benadrukken dat mensen die voorwerpen in hun plasbuis steken dat vaak herhaaldelijk doen, en vaak mentaal kwetsbaar zijn en kunnen lijden aan borderline. Ook zoeken (en vinden) sommigen op die manier seksueel genot.

