moederzoonthumb

Redactie Online

Moeder riskeert eigen leven om zoontje te beschermen van omvallende muur (video)

WTF vrijdag, oktober 1, 2021 - 17:00

katmuurthumb

Redactie Online

OH NEE! Vrouw renoveert badkamer, maar dan hoort ze haar kat plots miauwen vanuit de muur (video)

WTF donderdag, september 30, 2021 - 15:49

obama

Redactie Online

Bedrijf zoekt mensen die lichaam willen uitlenen voor deepfake-video’s

WTF donderdag, september 30, 2021 - 11:00

b47f825be12a8646ecc0e15573b212d37931678dabbb8ddf93ec6c6272faee10._RI_V_TTW_

Redactie Online

BIZAR. Dit huis staat te koop en lijkt wel erg hard op het stulpje van de Teletubbies

WTF donderdag, september 30, 2021 - 09:00

eendje

Redactie Online

WOW. Influencer verdient maandelijks 4.500 dollar met video’s over...eendjes (video)

WTF test nl 2, september 29, 2021 - 11:00

beer

Redactie Online

Amerikaanse jager vindt GoPro-camera in bos: «Ik geloofde mijn ogen niet toen ik de beelden zag»

News test nl 2, september 29, 2021 - 08:00

pexels-cottonbro-4057741

Redactie Online

BIZAR. Gevangenisstraf voor dienstmeisje dat toiletwater aan familie serveerde

News test nl 2, september 29, 2021 - 06:30

cosplaythumb

Redactie Online

GÊNANT! Outfit van cosplaymodel scheurt open door te grote boezem (video)

WTF dinsdag, september 28, 2021 - 17:54

alexisthumb

Redactie Online

Meisje (15) wist niet dat ze zwanger was en bevalt op eerste schooldag

WTF dinsdag, september 28, 2021 - 15:37

planten

Redactie Online

BIZAR. Influencer beweert dat menstruatiebloed wonderen doet voor haar planten

Urban life zondag, september 26, 2021 - 18:00

Loch NEss

Redactie Online

Heeft een drone het monster van Loch Ness gefilmd? (video)

WTF zondag, september 26, 2021 - 16:00

wachten met seks

Redactie Online

Wachten met seks in een relatie? Dat is zo gek nog niet, stelt wetenschappelijk onderzoek

WTF zaterdag, september 25, 2021 - 16:00

walmart

Redactie Online

Supermarktmedewerker neemt op brutale manier ontslag via omroepsysteem: «Aan onze manager, je bent een pervert» (video)

WTF zaterdag, september 25, 2021 - 12:00

gastonthumb

Redactie Online

Vrouw betast Disneyland-personage, maar die kan daar écht niet mee lachen (video)

WTF vrijdag, september 24, 2021 - 21:37

gorillathumb

Redactie Online

Dierentuinbezoekers gechoqueerd wanneer gorilla’s plots wel héél intiem moment beleven (video)

WTF vrijdag, september 24, 2021 - 19:58

grafzerkthumb

Redactie Online

Vrouw plaatst ‘ongepaste’ boodschap op grafzerk van haar overspelige man: «Dat is wie hij was»

WTF vrijdag, september 24, 2021 - 19:00

vaderdochterthumb

Redactie Online

Vader ziet dochtertje met iets spelen, maar wanneer hij beseft wat het is: PANIEK! (video)

WTF vrijdag, september 24, 2021 - 17:00

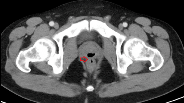
Cureus

Redactie Online

Man heeft gênante aandoening: ejaculeert uit achterwerk en laat winden uit geslachtsdeel

WTF donderdag, september 23, 2021 - 21:00

greythumb

Redactie Online

Model excuseert zich bij ouders voor doorzichtige jurk tijdens modeshow (foto)

WTF donderdag, september 23, 2021 - 18:08

geluidenthumb

Redactie Online

Vrouw gedegouteerd door seksgeluiden van buren: «Zelfs hun eigen baby wordt er wakker van»

WTF test nl 2, september 22, 2021 - 19:00